レントゲン・CTで「見える診断」へ|ひかる歯科・矯正歯科 新小岩|むし歯予防からインプラントまで広く対応

〒132-0031東京都江戸川区松島2-39-18 NIKOパークハイム新小岩1階

5/7~電話受付開始みなよい歯03-5879-3748

5/1〜予約受付開始WEB予約
5/7〜電話受付開始電話
下層メインビジュアル

レントゲン・CTで「見える診断」へ

レントゲン・CTで「見える診断」へ|ひかる歯科・矯正歯科 新小岩|むし歯予防からインプラントまで広く対応

2026年3月19日

レントゲン・CTで「見える診断」へ

今回は、レントゲン・CT(パノラマ/CT/セファロ)とデンタル撮影についてまとめます。

歯科医院の検査は、ただ“撮る”ためではありません。不安が増える場面の多くは「見えない・分からない・先が読めない」状態から生まれます。

当院では、画像検査を「不安を減らし、納得して治療を選べる状態をつくるための道具」として位置づけています。必要なときに必要な検査を行い、その結果を診療室のモニターで“見える化”して分かりやすく説明します。これが当院の基本方針です。

この記事では、パノラマ・CT・セファロ・デンタルで「何が分かるのか」「どんな場面で役立つのか」を、患者さん目線で丁寧に解説します。

ひかる歯科・矯正歯科 新小岩
〒132-0031 東京都江戸川区松島2-39-18 NIKOパークハイム新小岩1階
Googleマップで見る

「見える診断」が不安を減らす理由

歯科治療で不安が生まれやすいのは、次のようなときです。

  • どこが悪いのか分からない(見えない場所が多いです)
  • 治療が必要な理由が分からない(感覚だけで判断しづらいです)
  • どの治療が自分に合うか分からない(選択肢が整理されていないです)
  • どれくらい通うのか・何をするのかが見えない(見通しが立たないです)

この「分からなさ」は、痛みがなくても不安を作ります。逆に言えば、現状が見えて、理由が分かり、次が見えると不安は自然に下がります。

レントゲン・CTなどの画像検査は、治療を“押し切るため”のものではありません。患者さんが理解して選べる状態をつくるためのものです。当院はこの立ち位置で検査を扱います。

レントゲン室:検査の導線と安心感

検査は「撮って終わり」ではなく、その後の説明まで含めて体験が決まります。だから当院では、レントゲン室を“スムーズに検査が終わり、診療室で説明につながる”導線として設計しています。

検査が必要な場面は、むし歯や歯周病だけではありません。親知らず、顎関節、根の病気、矯正、インプラントなど、歯科は「見えない部分」の判断が多い分野です。画像検査を適切に使うことで、診断の精度説明の納得感は大きく変わります。

【レントゲン室】
必要な検査が安全にできる設計です。撮影後は診療室のモニターで一緒に確認し、状況を整理してご説明します。

【CT / パノラマ / セファロ複合機

パノラマで分かること(全体像の把握)

パノラマは上下の歯・顎の骨・周囲の構造を広く一枚で把握できる検査です。初診時の評価や、全体の方針を立てるときに役立ちます。

  • 歯の本数や位置(親知らずを含みます)
  • 大きなむし歯や治療跡
  • 歯周病の進行の目安
  • 根の先の炎症の疑い
  • 顎の骨の状態

パノラマは「全体の地図」です。ここで全体像を掴み、必要に応じてデンタルやCTへ進めます。

【パノラマ画像(例)】
お口全体の状況を把握できます。

CTで分かること(立体的に見る意味)

CTは顎の骨や歯の根の状態を立体(3D)で把握できる検査です。2Dだけでは判断が難しいケースで、診断の精度を上げる助けになります。

  • 親知らずの抜歯:神経・血管との位置関係を確認し、安全性を高めます
  • 根の病気:炎症の広がりや骨の状態を把握します
  • 歯周病の精密評価:骨欠損の形を確認します
  • インプラント治療:骨量・神経管・上顎洞などを確認します
  • 顎関節・外傷:必要に応じて構造を把握します

CTは「撮った方が安心」ではなく「必要なときに撮るから安心」です。症状・診査結果・治療計画に応じて判断します。

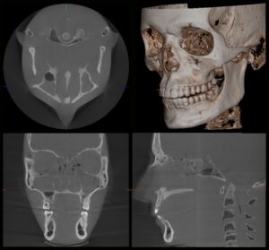
【CT画像(例)】
断面・3D再構成で位置関係を立体的に把握できます。

セファロで分かること(矯正・成長・噛み合わせ)

セファロは矯正で使う検査で、骨格・歯の傾き・上下顎の位置関係を規格化された条件で評価できます。

  • 上下顎の位置関係
  • 歯の傾きや突出感
  • 成長の方向性(小児矯正の評価です)
  • 気道や姿勢との関連のヒント(必要に応じて評価します)

当院では押し付けではなく、情報を整理し、選べる状態を作ることを重視しています。

【セファロ画像(例)】
骨格と歯の位置関係を評価し、設計の根拠にします。

デンタルで分かること(細部を正確に)

デンタルは必要部位を高精細に確認できる検査で、むし歯・詰め物の適合・根の状態などを評価します。

  • むし歯の深さ・広がり
  • 詰め物・被せ物の適合
  • 歯の根の病気
  • 歯周病の評価

パノラマ=地図、CT=立体、デンタル=拡大です。組み合わせることで、説明の納得感も高まります。

【デンタル機器】
細部の判断のために、必要な部位を撮影します。

【デンタル画像(例)】
細部まで“拡大して確認”できます。

撮影後はどう説明する?(モニターでの見える化)

検査をしても、説明が分かりにくければ不安は残ります。当院では、診療室のモニターで一緒に確認しながら、次の順番で整理してお伝えします。

  • ① いまの状態:どこに、何が起きているかを確認します
  • ② リスクと優先順位:放置するとどうなるか/どこから止めるかを整理します
  • ③ 治療の選択肢:期間・費用・将来性を分かりやすく整理します
  • ④ 次の一歩:何を・いつ・どれくらいで進めるかを明確にします

「見て分かる」情報があると、必要性とゴールが共有しやすくなります。その結果として、不安が下がりやすくなります。

よくある質問(Q&A)

Q1. いきなりCTを撮ることはありますか?
A. まず診査を行い、状況に応じて判断します。CTは「必要なときに必要な情報を得る」検査です。

Q2. レントゲンは被ばくが心配です。
A. 不安があるのは自然なことです。当院では目的と必要性を説明し、不要な撮影を増やしません。気になる方は遠慮なくご相談ください。

Q3. 検査結果はその場で説明してもらえますか?
A. はい。可能な範囲で当日に共有し、現状と次の方針を整理してお伝えします(状況により後日説明の場合もあります)。

まとめ:検査の目的は「安心と納得」

パノラマ・CT・セファロ・デンタルは役割が違います。大切なのは、必要な情報を、必要な方法で得て、分かりやすく説明することです。

当院では「見えない不安」を減らし、治療の納得感を高めることを目指します。診断の精度だけでなく、安心して通える体験につながるよう整えていきます。

次回予告
次回も「設備紹介(目的ベース)」として、別の機器を“体験がどう変わるか”を軸にまとめる予定です。
(例:口腔外バキューム=治療中の安心感/空気環境、滅菌器=見えない安心、など)

監修・院長プロフィール

監修:ひかる歯科・矯正歯科 新小岩 院長 増田 光(ますだ ひかる)

【経歴】
2012年3月 日本大学松戸歯学部 卒業
2012年4月 総合病院国保旭中央病院 歯科・歯科口腔外科 研修医
2013年4月 総合病院国保旭中央病院 歯科・歯科口腔外科 医員
2016年4月 都内歯科医院 勤務
2018年4月 神奈川県医療法人 副院長
2021年4月 神奈川県医療法人 分院長
2026年5月 ひかる歯科・矯正歯科 新小岩 開院

【資格・所属学会】
・日本口腔外科学会 認定医
・日本顎咬合学会 咬み合わせ認定医
・日本アンチエイジング歯科学会 認定医
・国際口腔インプラント協会(IDIA) 認定医
・日本口腔インプラント学会 所属
・ILSC即時荷重研究会 所属

【専門分野】
・口腔外科(親知らずの抜歯など)
・インプラント治療(低侵襲・4Sコンセプト、抜歯即時埋入・即時荷重)
・精密診断(CT・口腔内スキャナー・3Dシミュレーションの活用)
・一般歯科×矯正歯科の連携による総合診療
・家族のむし歯ゼロを目指す予防歯科

江戸川区・新小岩エリアで、ご家族が安心して通える歯科医院を目指して開院準備中です。予防歯科を軸に、分かりやすい説明と安心できる通院体験を整えていきます。

ひかる歯科・矯正歯科 新小岩
院長 増田 光

TOP